

1.Recesiones multiples con compromiso estético y sensibilidad dentaria.

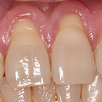
2. 10 días después de la cirugía mucogingival mediante tecnica Zucchelli y De Sanctis sin injerto de encia.

3. Revisión a los 6 meses. Recubrimiento total en más de un 90% de las superficies radiculares.
